
Zahnwurzelschmerzen
Zahnwurzelschmerzen? Hier finden Sie Ursachen, Behandlungsmöglichkeiten und praktische Tipps für mehr Komfort im Alltag
Informationen zum Virus: Die Grenze ist offen, auf dem Rückweg ist mit Stau zu rechnen wegen Desinfektion Tepich. Für Menschen ist nicht gefährlich.

Zahnwurzelschmerzen? Hier finden Sie Ursachen, Behandlungsmöglichkeiten und praktische Tipps für mehr Komfort im Alltag

Fisteln im Mund entstehen durch Infektionen an Zähnen oder Zahnfleisch. Wir erklären Ursachen, Symptome und Behandlungsmöglichkeiten.

Erfahren Sie alles Wichtige zur Mundfäule: Symptome, Ursachen, Behandlung und wirksame Hausmittel für schnelle Linderung.

Nach Veneers empfindlich? Ursachen, schnelle Linderung Tipps und Warnsignale auf einen Blick.

Periimplantitis: Ursachen, Symptome und moderne Behandlungsmethoden für dauerhaften Implantaterhalt.

Erfahren Sie alles über Zysten im Mund: Ursachen, Symptome und effektive Behandlungsmöglichkeiten für schnelle Hilfe.

Erfahren Sie alles über den Abszess im Mund: Ursachen, Symptome und effektive Behandlung. Schnell handeln bei Schmerzen!

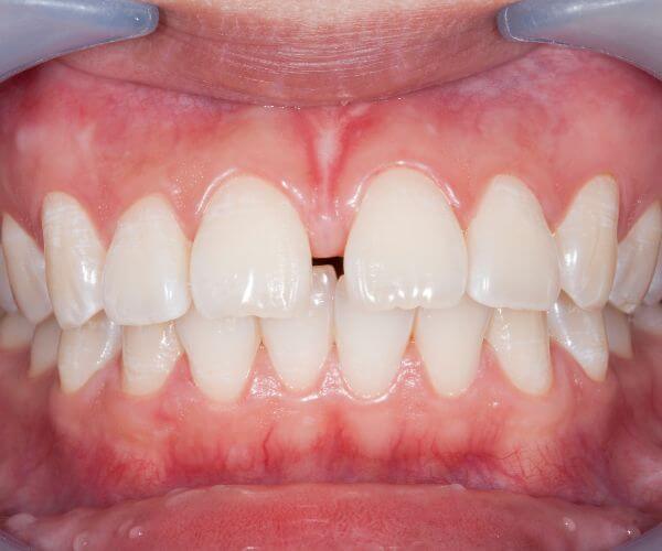
Entdecken Sie die häufigsten Fragen zu Diastemen und erfahren Sie, wie Sie mit Lücken zwischen den Zähnen umgehen können.

Erfahren Sie alles über Pulpitis: Ursachen, Symptome und effektive Behandlungsmöglichkeiten für gesunde Zähne und ein strahlendes Lächeln.

Inhalt 1. Welche Symptome deuten auf einen Vitaminmangel im Mund hin?2. Wie erkennt man einen Vitamin-B12-Mangel an den Mundschleimhäuten3. Können Vitaminmängel zu Mundgeruch führen?4. Was sind die Anzeichen eines Folsäuremangels